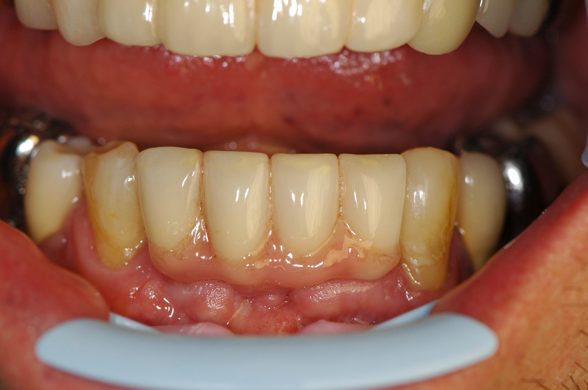
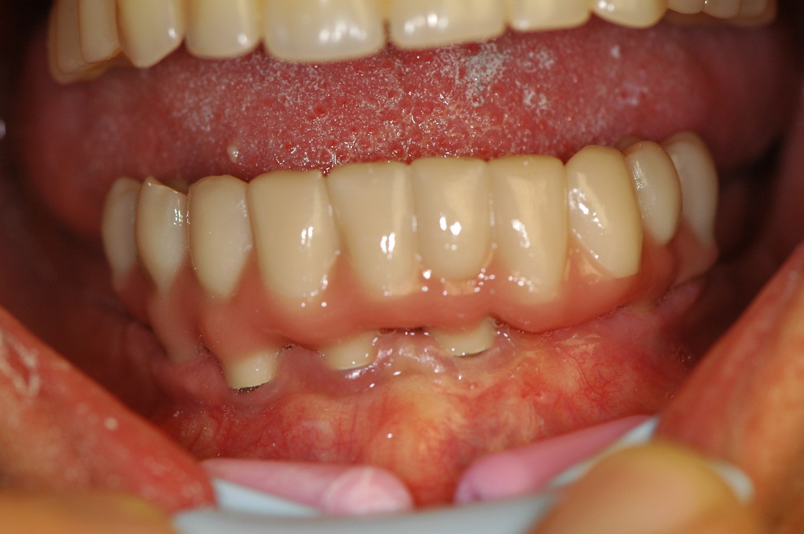
Cas traités à l'aide de zircone prettau restituant la perte gingivale et donc sans greffe osseuse