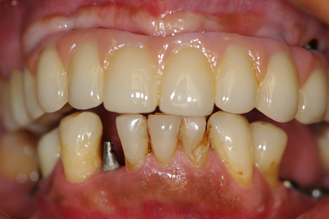
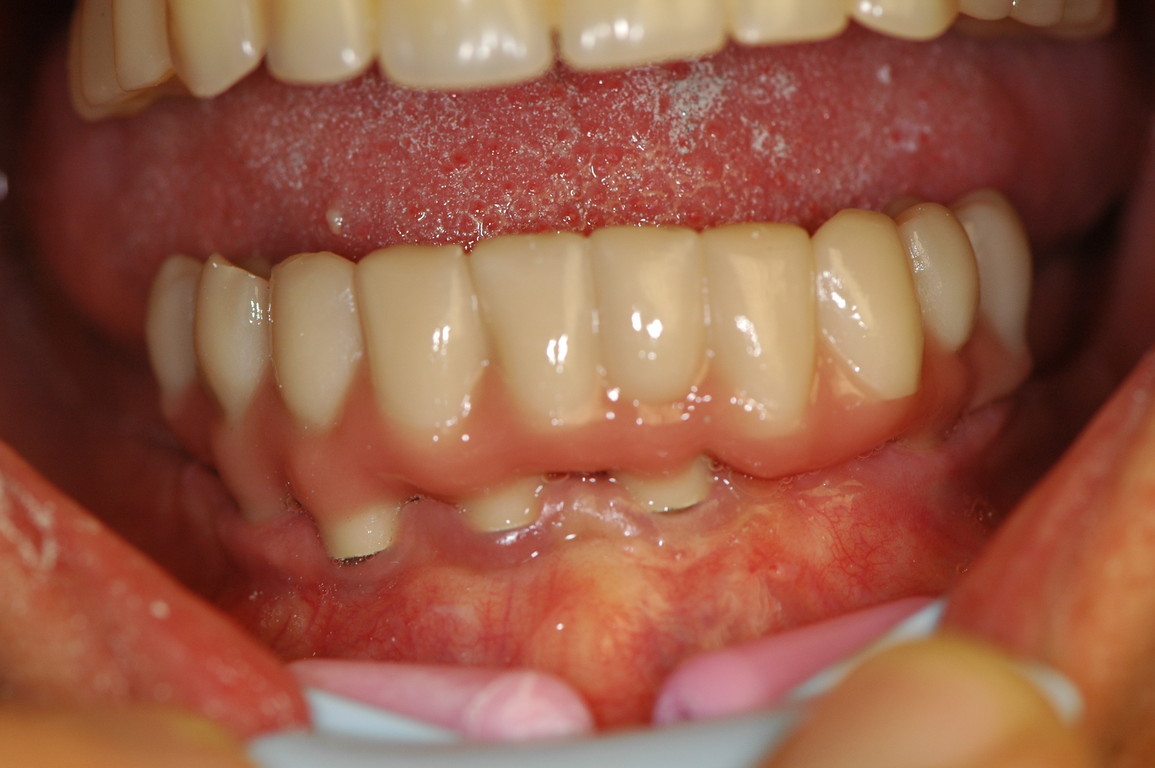
Réfection d'un bridge complet mandibulaire présentant une perte osseuse sévère réalisé par un confrére quelques années avant ....

Le bridge précédent a été réalisé 7 ans auparavant par un confrère implantologue . Vous pouvez constater l'état de dégradation avancé des dents résines ainsi que l'aspect inesthétique de l'armature en or trés chère qui en plus était fracturée ( la patiente a décidé de changer de praticien après plusieurs tentatives de réparation ) . L'énorme perte osseuse est liée au fait qu'elle a été édentée très jeune . L'espace entre la fausse gencive zircone et sa gencive a été laissé volontairement afin de faciliter son hygiène . Cela lui permet un entretien facile sans nuire a son esthétique puisque sa lèvre recouvre cette région qui trés en retrait .

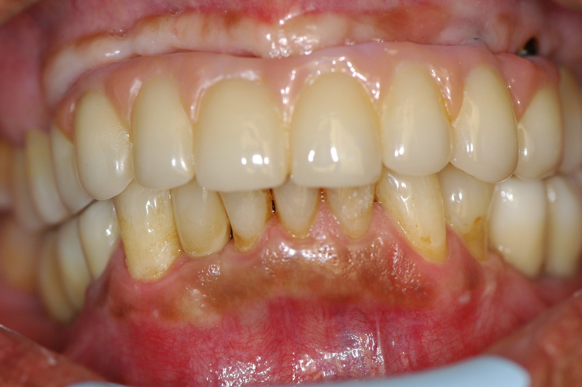
BRIDGE COMPLET MAXILLAIRE SUPERIEUR AVEC UNE PERTE OSSEUSE MODEREE

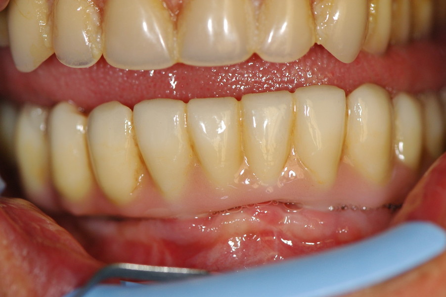
BRIDGE COMPLET MANDIBULAIRE AVEC UNE PERTE OSSEUSE MODEREE