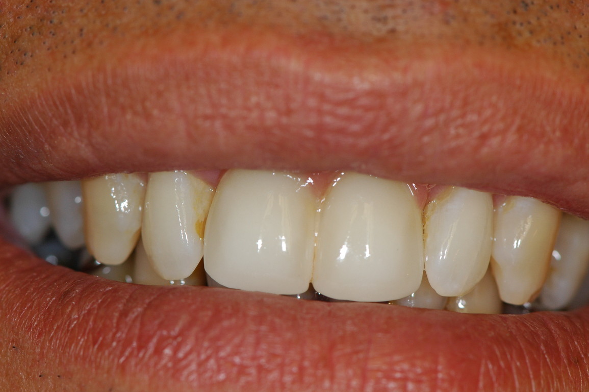
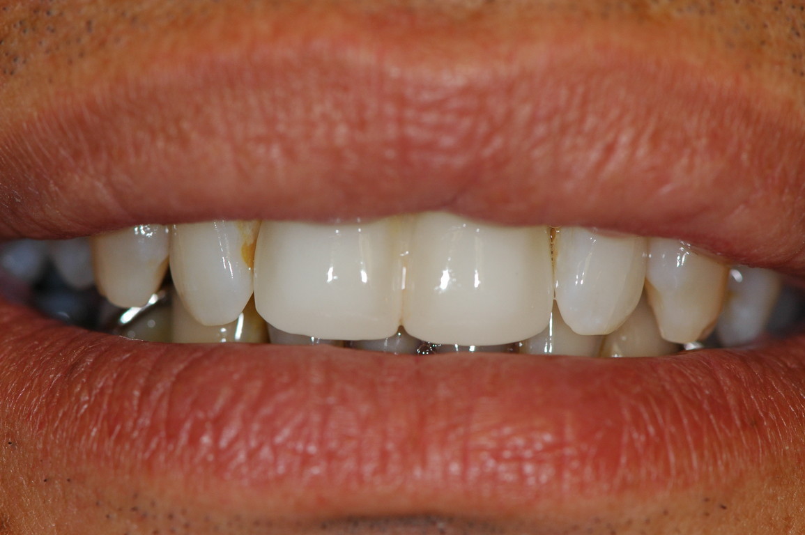
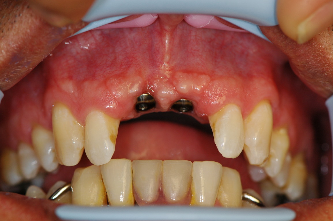
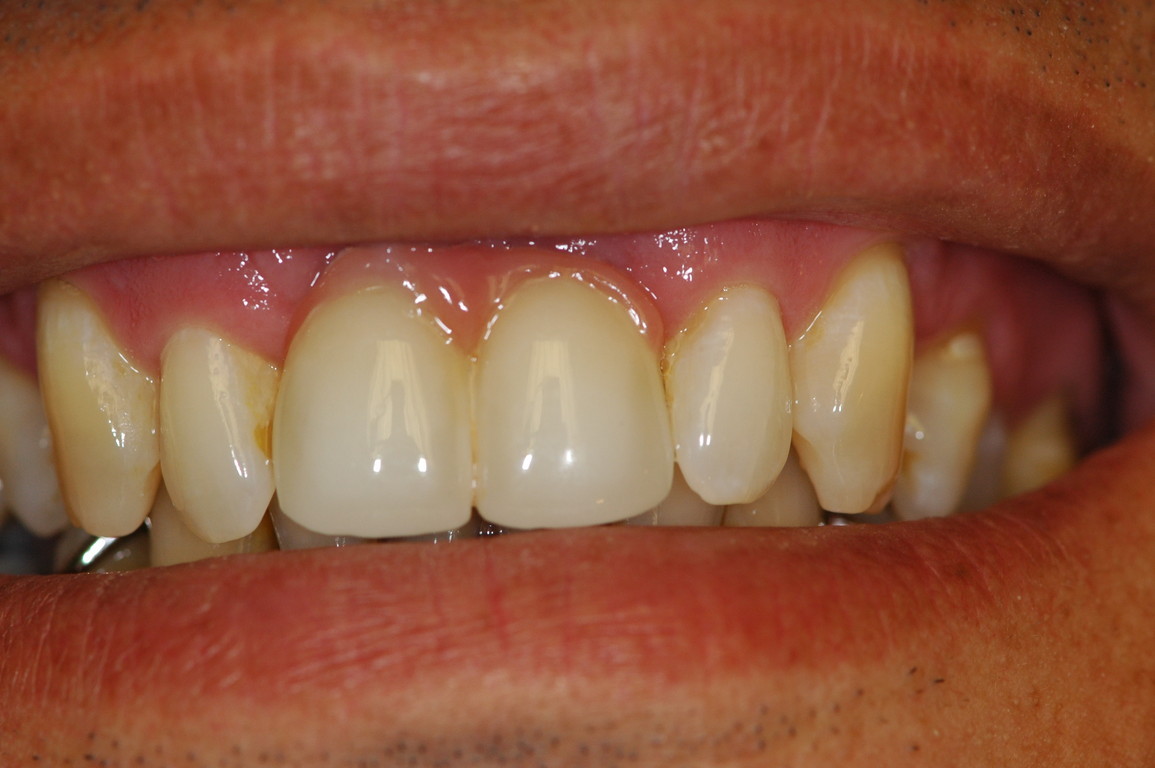
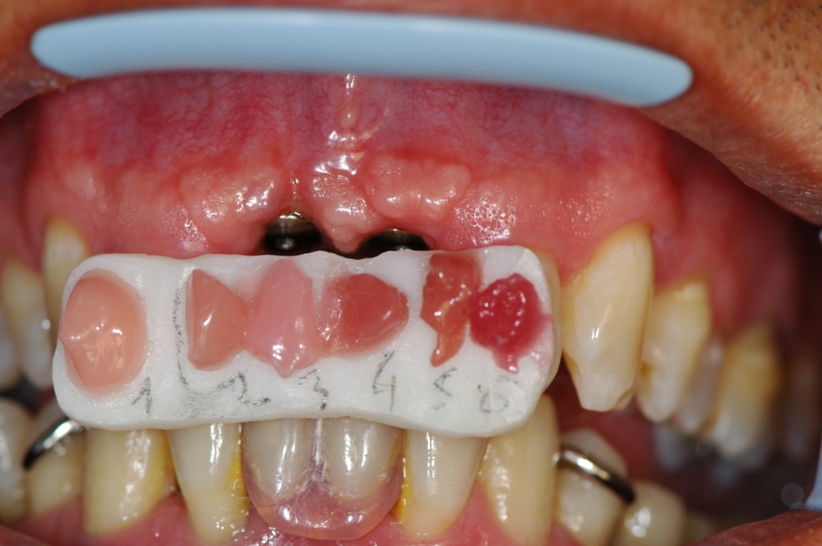
Cas anterieur avec deux incisives et perte osseuse

Patient n'ayant pas souhaité de greffe osseuse . Une fausse gencive zircone a été utilisée afin que ces deux incisives centrales ne paraissent pas trop longues dans son sourire et restent en harmonie avec les autre dents . Le tout sans douleur postopératoire selon le désir du patient ( une greffe osseuse lui aurait imposé des suites opératoires plus lourdes que la simple pose d'implants )