ACCUEIL
LE CABINET
CONSEILS POUR VOTRE HYGIENE BUCCODENTAIRE
IMPLANTS
RECONSTRUCTION OSSEUSE
TARIFS
CONTACT ET PLAN D'ACCES
CABINET D'IMPLANTOLOGIE Dr BERTHOMME Jean Pascal
CABINET D'IMPLANTOLOGIE Dr BERTHOMME Jean Pascal
Qu'est ce qu'un implant dentaire
Fiabilité des implants dentaire
Pose d'un implant
Guide chirurgical et chirurgie guidée assitée par ordinateur
Les différents piliers d' un implant dentaire
Prothèse sur implant
Mise en charge immédiate sur les antèrieures
Mise en charge immédiate pour prothèse complète
Photos de cas traités sans pertes osseuse
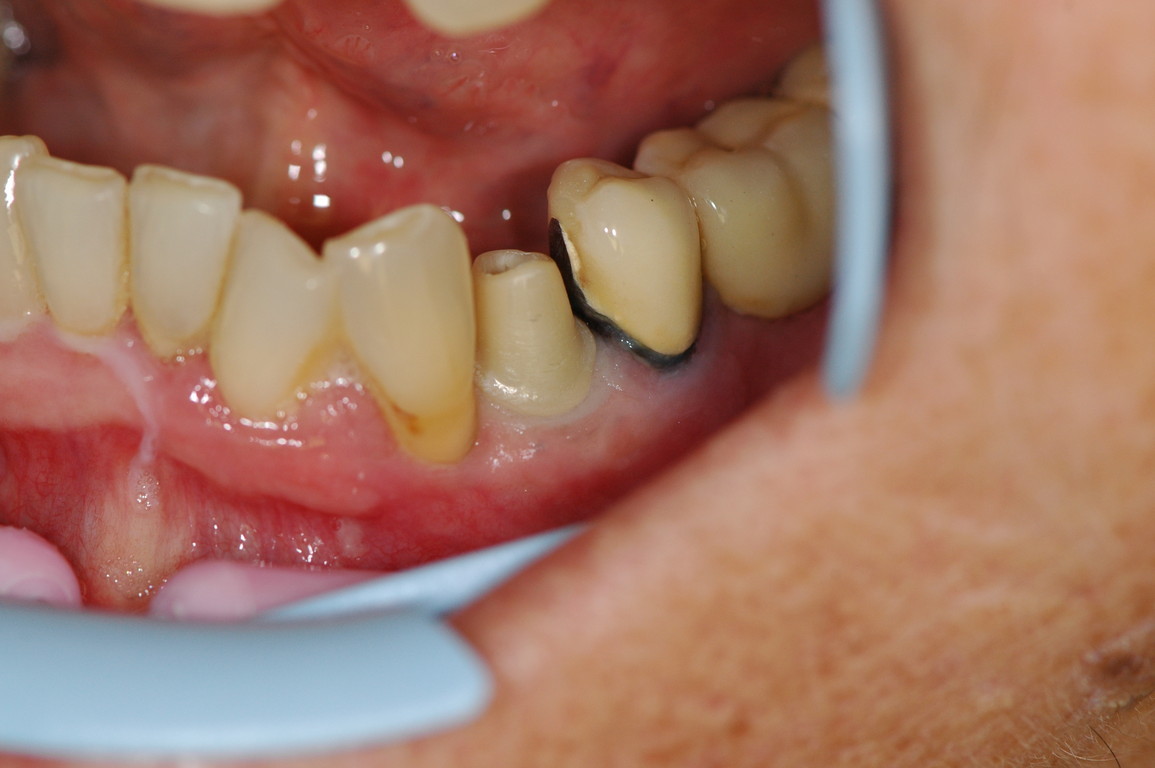
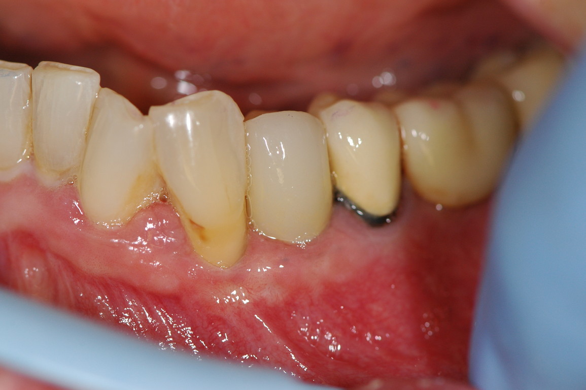
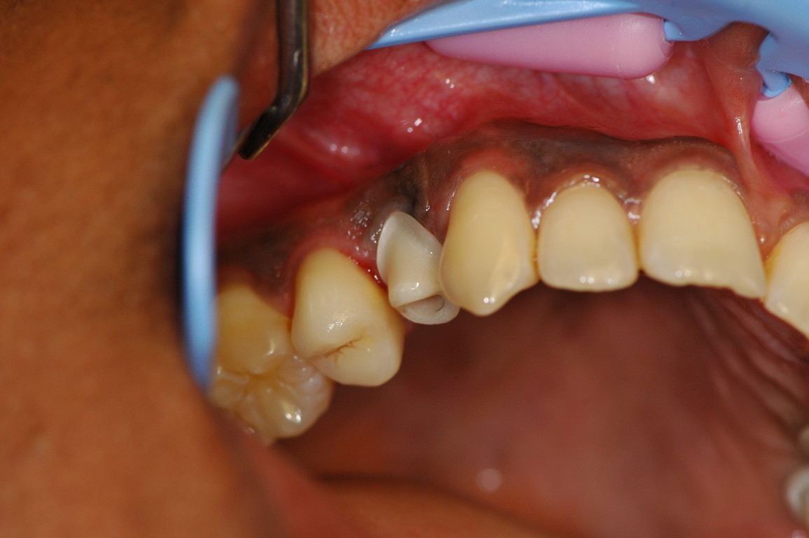
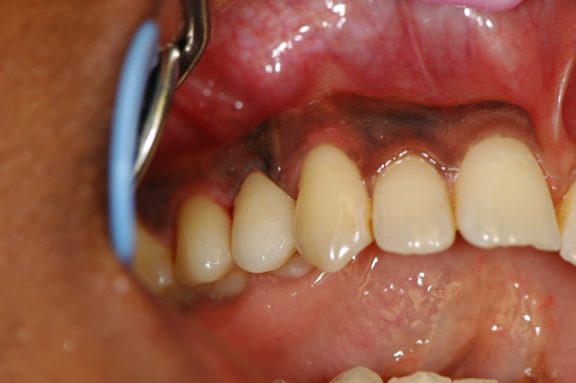
Cas unitaire
Plusieurs éléments
Photos de cas traités présentants des pertes osseuses
Les matériaux constituants les prothèses
Partager
pilier zircone et vitrocéramique
pilier zircone sur embase titane et vitrocéramique