ACCUEIL
LE CABINET
CONSEILS POUR VOTRE HYGIENE BUCCODENTAIRE
IMPLANTS
RECONSTRUCTION OSSEUSE
TARIFS
CONTACT ET PLAN D'ACCES
CABINET D'IMPLANTOLOGIE Dr BERTHOMME Jean Pascal
CABINET D'IMPLANTOLOGIE Dr BERTHOMME Jean Pascal
Qu'est ce qu'un implant dentaire
Fiabilité des implants dentaire
Pose d'un implant
Guide chirurgical et chirurgie guidée assitée par ordinateur
Les différents piliers d' un implant dentaire
Prothèse sur implant
Mise en charge immédiate sur les antèrieures
Mise en charge immédiate pour prothèse complète
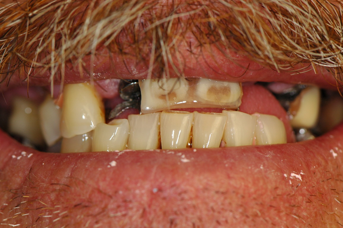
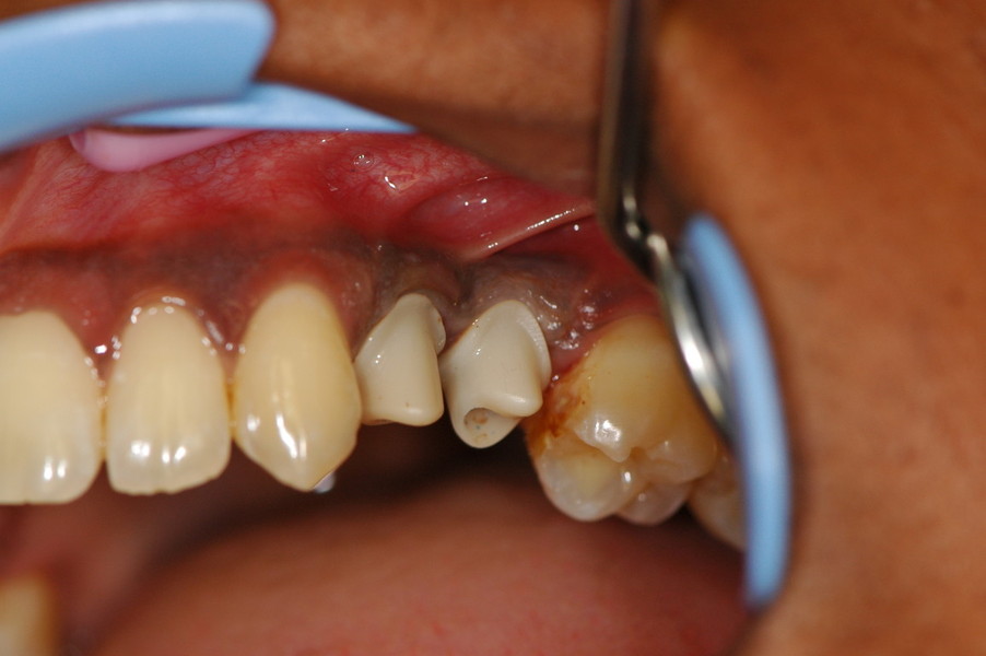
Photos de cas traités sans pertes osseuse
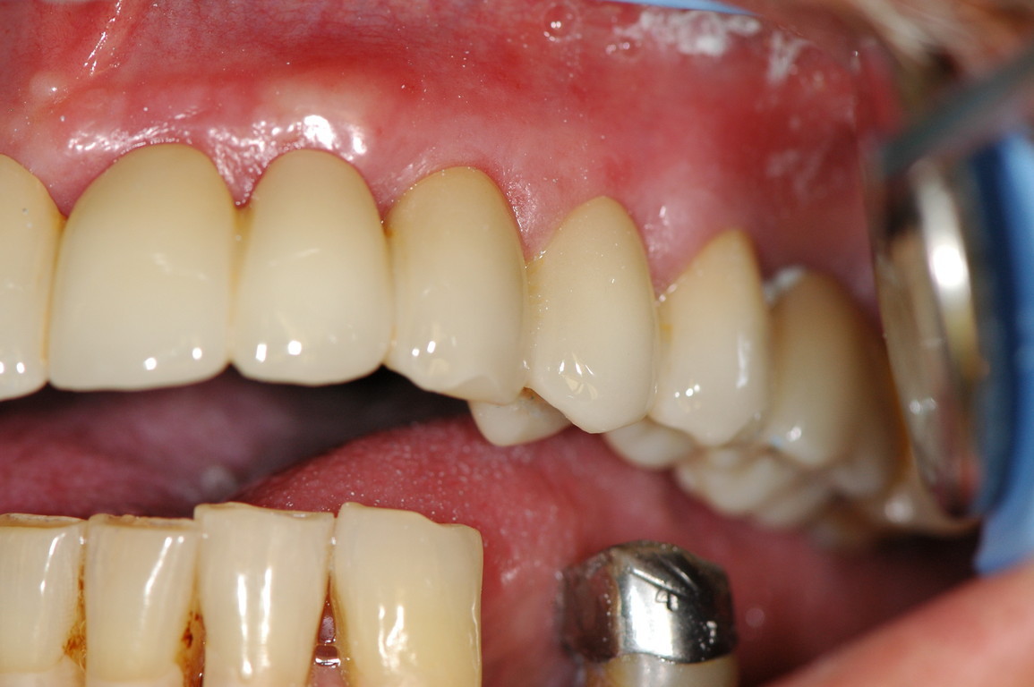
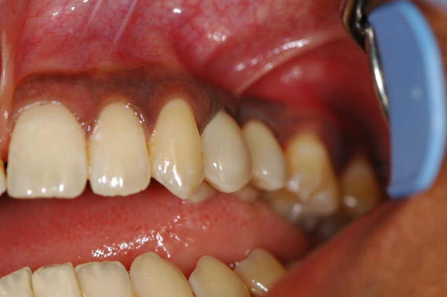
Cas unitaire
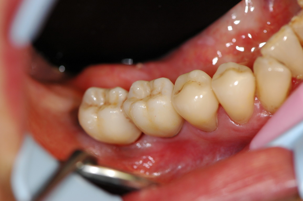
Plusieurs éléments
Photos de cas traités présentants des pertes osseuses
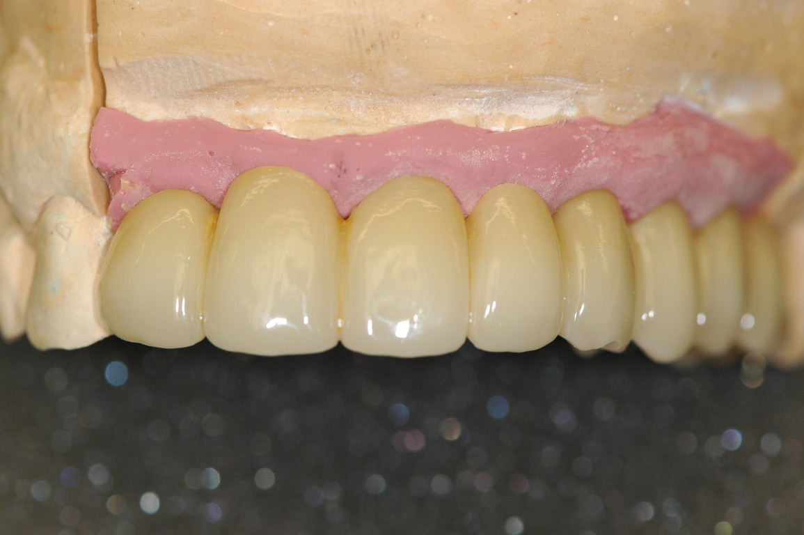
Les matériaux constituants les prothèses
Partager
pilier titane nitruré et couronne zircone
pilier zircone et couronne zircone
bridge transvissé zircone sur embase titane